Dental Gum Treatment & Surgeries

Effective Gum Treatment and Surgeries – Restore Your Smile and Oral Health

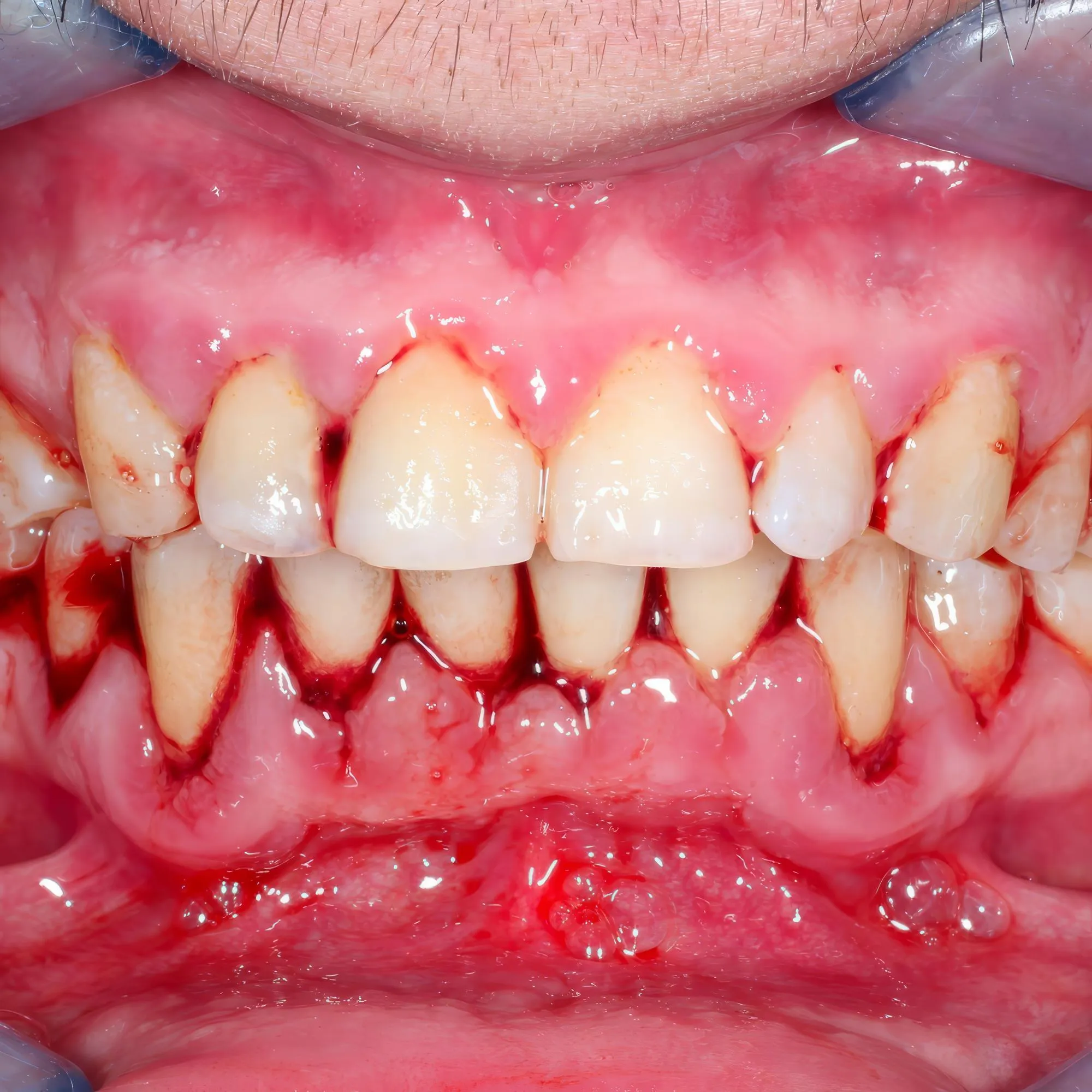
Ever noticed your gums bleeding when you brush? That’s your body screaming for help. Millions suffer from gum problems every year. Yet most ignore it. Some think it’ll get better. Spoiler: it won’t.

This is where gum treatment and surgeries come in. They’re not scary. They’re lifesavers.

Let me tell you why taking care of your gums today will save you from pain tomorrow.

What is Gum Treatment and Surgeries?

Imagine your gums as the foundation of a house. Weak foundation? Trouble ahead. Gum Treatment and Surgeries are specialized solutions when basic care doesn’t cut it anymore.

Sometimes, brushing and mouthwash aren’t enough. The dentist steps in. They clean deep. Remove infection. Repair damage. When gum disease worsens, surgery is needed. It sounds intimidating, but it’s way better than letting infection spread. And guess what? In Dwarka, experts make it simple, approachable, and effective.

Common Gum Problems Addressed

Gum problems don’t just appear out of nowhere. Usually, it starts small. Maybe you ignore a tiny bleed. Then it gets worse.

  • Gingivitis : Red, swollen gums. Bleeding during brushing.
  • Periodontitis: When infection spreads deeper.
  • Gum Recession: Gums pulling away. Teeth look longer.
  • Abscesses: Painful pus pockets in gums.

Each one’s a story of neglect. Left untreated, they spiral into serious issues. This is where gum treatment and surgeries step in. Fixing problems before they ruin your smile.

Types of Gum Treatment Procedures

a) Non-Surgical Treatments

First things first. Not every case needs a knife.

  • Scaling and Root Planing: Deep cleaning. Removes plaque and tartar.
  • Antibiotic Therapy: Kills infection, helps healing.

Simple. Painless. Life-changing.

b) Surgical Treatments

When non-surgical doesn’t do the job, surgery becomes the hero.

  • Flap Surgery: Lift gums, clean deeply, place back neatly.
  • Gum Grafting: Fixes receding gums using tissue from your mouth.
  • Bone Grafting: Adds bone where it’s lost.
  • Guided Tissue Regeneration: Adds bone where it’s lost.

Sure, sounds fancy. But these are standard procedures. Doctors in Dwarka do them every day. Your smile’s in safe hands.

Why Choose Professional Gum Treatment in Dwarka?

You could try random home remedies. Or take shortcuts. But would you fix a leaking roof with duct tape? Exactly. Professional care matters. In Dwarka, clinics specialize in gum treatment and surgeries. They use the latest equipment.And provide personalized care. Friendly dentists explain every step. No jargon. No rushing. Just honest care.

FAQs

Q1: Is gum surgery painful?
Honestly? You’ll feel pressure. But not unbearable pain. Local anesthesia makes sure you’re comfy.
Q2: How long is the recovery period?
A few days to a couple weeks. Depends on the procedure. Rest, avoid spicy food, and you’re good.
Q3: How to keep gums healthy after treatment?
Simple habits:
Regular brushing. Floss daily. Regular check-ups. Because gum treatment and surgeries aren’t one-time miracles. They need aftercare.

Conclusion

Don’t wait till it’s too late. Your gums are the foundation of your smile. Ignoring problems only makes things worse. With expert gum treatment and surgeries, it’s possible to heal, restore, and smile confidently again.

Ready to take the first step?

📞 Contact us today for trusted gum treatment and surgeries in Dwarka.

Dr. Profile

Doctor
Dr. Ravina Duhan
BDS - ITS Dental College
WhatsApp Chat