Mobile Teeth Solutions

Mobile Teeth Solutions in Delhi – Regain Strength in Your Smile

One day you bite an apple. Suddenly you feel something odd. The tooth moves. Just a little shake. That’s the start. Loose teeth, also called mobile teeth, don’t only disturb your smile. They disturb your life. Eating. Talking. Smiling. All becomes stressful.

At Dentoamigo, we understand this fear. That’s why we bring advanced and reliable mobile teeth solutions in Delhi to protect your smile and restore confidence.

What are Mobile Teeth?

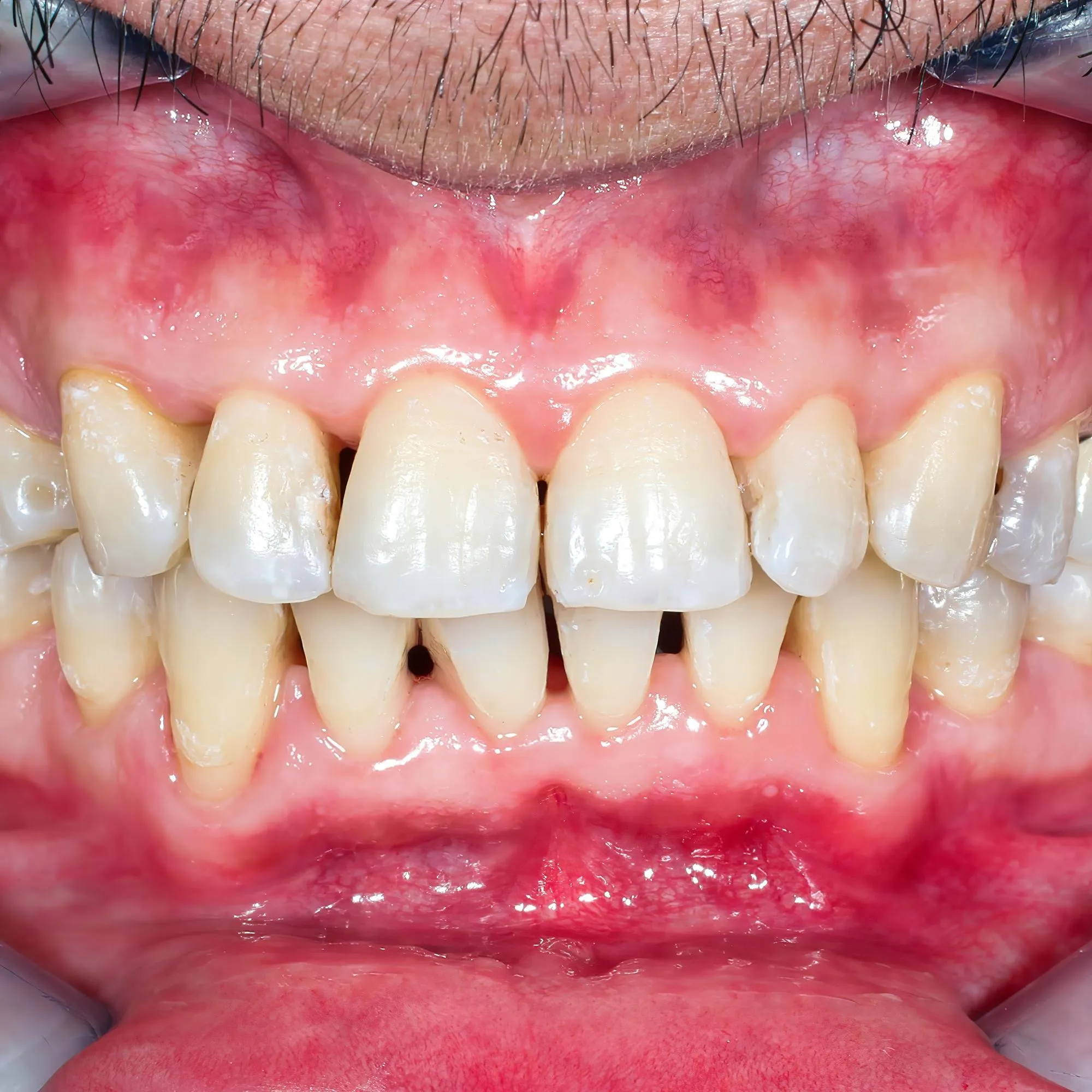
Mobile teeth are teeth that lose stability. They don’t sit firm. They shift, wiggle, and sometimes hurt.
Causes are many.

  • Gum disease.
  • Bone loss.
  • Accidents or injury.
  • Poor oral hygiene.
  • Aging.

Ignoring them is risky. That’s why early mobile teeth solutions matter.

Common Symptoms of Mobile Teeth

You may notice small signs. But they matter.

  • Tooth shakes while eating.
  • Pain or sensitivity when chewing.
  • Gums bleeding or pulling back.
  • Food getting stuck often.
  • Bad breath that never goes away.

If you see these, don’t wait. Mobile teeth solutions in Delhi are available at Dentoamigo.

Why Ignoring Mobile Teeth is Dangerous

Loose teeth won’t get better on their own. They only worsen.

  • You may lose the tooth completely.
  • Jawbone can shrink without support.
  • Chewing gets tough, leading to digestion problems.
  • Smiling becomes awkward. Confidence drops.

But the good part? With timely treatment, you can stop the damage.

Mobile Teeth Solutions in Delhi at Dentoamigo

Every patient is different. So every treatment plan is unique. At Dentoamigo, we design safe and effective mobile teeth solutions in Delhi based on your condition.
Here are the common treatments:

  • Scaling & Root Planing - Cleaning gums and roots to remove infection.
  • Splinting - Loose teeth are joined together for stability.
  • Flap Surgery - Deep cleaning for gum disease.
  • Bone Grafting – Rebuild bone support if bone is lost.
  • Dental Implants – If saving the tooth is not possible, replace it with an implant.

These mobile teeth solutions are done with modern equipment and expert care.

Step-by-Step Treatment Process

Patients often ask – what happens if I visit? Here’s the journey.

  1. Consultation & Diagnosis: Dentist checks mobility and gum condition.
  2. Treatment Planning: Custom plan based on severity.
  3. Procedure: Scaling, splinting, grafting or implant as needed.
  4. Post-Care: Instructions for hygiene and healing.

Clear. Simple. Effective. That’s how we deliver mobile teeth solutions.

Benefits of Choosing Dentoamigo

Why us? Because your smile deserves both care and safety.

  • Experienced specialists in gum care and implants.
  • Modern, painless technology.
  • Affordable options for all treatments.
  • Personalized approach. No one-size-fits-all.
  • Patient comfort comes first.

When it comes to mobile teeth solutions in Delhi, Dentoamigo stands as a trusted name.

FAQs About Mobile Teeth Solutions in Delhi

Q1: What causes mobile teeth?
Answer Mostly gum disease, bone loss, or injury.
Q2: Can mobile teeth be saved?
Answer Yes, in many cases with splinting or gum treatment.
Q3: How long does the treatment take?
Answer From one sitting to a few months, depending on the procedure.
Q4: Is it painful?
Answer No, modern dentistry makes it comfortable.
Q5: What is the cost of mobile teeth solutions in Delhi?
Answer It depends on the type of treatment. Scaling is lower, implants higher. At Dentoamigo, we keep it transparent.

Conclusion

Loose teeth don’t mean the end. With the right care, they can be saved or replaced. The journey starts with a visit.

At Dentoamigo, we provide safe, advanced, and affordable mobile teeth solutions in Delhi. From diagnosis to aftercare, we guide you at every step.

Don’t let shaky teeth shake your confidence. 📞 Book your appointment today and restore your smile with expert mobile teeth solutions at Dentoamigo.

Dr. Profile

Doctor
Dr. Ravina Duhan
BDS - ITS Dental College
WhatsApp Chat